<Title:> Yersinia pseudotuberculosis Infection Accompanied by Intussusception and Incomplete Kawasaki Disease in a 7-year-old Girl
<Author(s):> Takuma Ohnishi, Maki Nakazawa, Naomi Wada, Jun Abe, Isamu Kamimaki
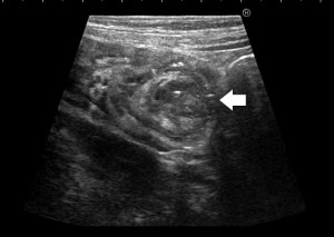
<Abstract:> Infection with Yersinia pseudotuberculosis, a known causal pathogen of human bacterial gastroenteritis, causes various symptoms and complications. A previously healthy 7-year-old girl was admitted because of fever and gastrointestinal symptoms. She was initially diagnosed with intussusception by abdominal ultrasonography. Although the patient was successfully treated by air enema, the fever persisted. The patient was then diagnosed with incomplete Kawasaki disease based on the presence of four principal clinical features. Intravenous immunoglobulin and oral aspirin were initiated. The patient defervesced and the other symptoms subsided after the treatment. Cardiac ultrasound results showed normal coronary arteries. Because of the gastrointestinal symptoms, stool samples were cultured repeatedly, only to yield normal flora. However, serum levels of anti-Y. pseudotuberculosis-derived mitogen antibody were elevated between the 7th and 18th days of the disease, thereby confirming Y. pseudotuberculosis infection. Because Y. pseudotuberculosis infection results in various clinical manifestations, we must be aware of each symptom and address them systematically.
<Keywords:> Yersinia pseudotuberculosis, Kawasaki disease, intussusception, anti-Yersinia pseudotuberculosis-derived mitogen antibody
<URL:> https://www.jstage.jst.go.jp/article/kjm/71/2/71_2021-0002-CR/_html

