<Title:> Seizure caused by Hypocalcemia as a Rare Manifestation in an Infant with Eosinophilic Gastroenteritis
<Author(s):> Ryunosuke Sugimoto, Tomohiro Inoguchi, Aiko Isobe, Sachiko Kaburagi, Masayuki Akashi
<Corresponding author E-Mill:> yuki0820(at)trust.ocn.ne.jp
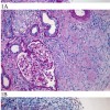
<Abstract:> Eosinophilic gastroenteritis (EGE) can occur throughout the gastrointestinal tract, from the stomach to the colon. Typical known symptoms are abdominal pain, nausea, vomiting, and diarrhea. In addition, lesions in the intestinal mucosa may cause weight loss, protein-losing enteropathy (PLE), and other problems. A 6-month-old girl with no previous medical history was brought to our hospital after an afebrile 1-min clonic seizure. Blood tests showed low concentrations of serum calcium and albumin. After the correction of hypocalcemia with gluconic acid, there was no recurrence of seizure. Technetium-99m scintigraphy showed slight leakage of protein from the intestinal tract, which led us to conclude that the hypocalcemia and hypoalbuminemia were caused by PLE. Gastrointestinal endoscopy and biopsy performed to detect the cause of PLE revealed the presence of EGE. After starting administration of an amino acid-based formula, gastrointestinal symptoms of diarrhea or vomiting did not reappear. The serum albumin concentration normalized, and her weight gain improved. We report the first case of EGE in an infant who was diagnosed based on seizure. This case shows that infants with EGE may present with seizure resulting from hypocalcemia caused by PLE.
<Keywords:> eosinophilic gastroenteritis, hypocalcemia, infant, protein-losing enteropathy, seizure
<URL:> https://www.jstage.jst.go.jp/article/kjm/73/1/73_2023-0009-CR/_html

