<Title:> Acute Kidney Injury as the First Manifestation of Sarcoidosis
<Author(s):> Leonid Dvoretsky, Nina Sidoruk, Sergey Krivushkin, Andrey Stepanchenko, Svetlana Rachina, Ekaterina Stolyarevich, Heshan Radeesha De silva
<Corresponding author E-Mill:> Svetlana.Ratchina(at)antibiotic.ru
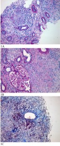
<Abstract:> We describe a case of sarcoidosis in a previously healthy 39-year-old man with the development of an acute kidney injury, requiring renal replacement therapy, as the first manifestation of the disease. The course of the disease was complicated by a сatheter-associated bloodstream infection. According to the histological examination of kidney biopsy samples, granulomatous interstitial nephritis was diagnosed. Extensive examination of the patient revealed persistent hypercalcemia, elevated transaminase levels, intrathoracic lymphadenopathy, and infiltrates in the lungs. Other diseases, such as anti-neutrophil cytoplasmic antibody-associated vasculitis, tuberculosis, autoimmune liver diseases, and systemic lupus erythematosus, were ruled out. The patient was treated with pulse therapy of methylprednisolone, which then switched to oral glucocorticoids (prednisolone 60 mg/day followed by a gradual decrease in the dose). The 9-month follow-up revealed a regression of lung lesions and improvement of the impaired renal function. The prednisolone dose was reduced to 7.5 mg/day, and renal replacement therapy was discontinued.
<Keywords:> arcoidosis, renal sarcoidosis, acute kidney injury, granulomatous interstitial nephritis
<URL:> https://www.jstage.jst.go.jp/article/kjm/advpub/0/advpub_2023-0020-CR/_html

