<Title:> Chemotherapy for Breast Cancer with Pre-existing Cryptogenic Organizing Pneumonia: Epirubicin/cyclophosphamide Followed by Weekly Paclitaxel
<Author(s):> Ouki Kuniyoshi, Yuta Yokoyama, Yuma Nonomiya, Takashi Nakakuma, Tomonori Nakamura
<Corresponding author E-Mill:> yokoyama-yt(at)keio.jp
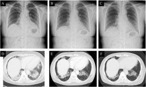
<Abstract:> The incidence of breast cancer in patients with pre-existing interstitial lung disease has been rarely reported. Consequently, evidence supporting the safety of chemotherapy in this population remains limited. This report describes the case of a 55-year-old woman with a history of cryptogenic organizing pneumonia who received adjuvant chemotherapy for the management of breast cancer. The chemotherapy regimen comprised the administration of epirubicin/cyclophosphamide followed by the weekly administration of paclitaxel. This regimen was selected based on the findings of previous studies that assessed the utility of chemotherapy regimens for the treatment of lung cancer in patients with interstitial lung disease. Chemotherapy was completed without worsening of the cryptogenic organizing pneumonia or the appearance of new abnormal lung fields. Therefore, the administration of epirubicin/cyclophosphamide followed by the weekly administration of paclitaxel may be safe in patients with pre-existing interstitial lung disease. This regimen may be a suitable choice for the perioperative management of this population.
<Keywords:> breast neoplasms, cryptogenic organizing pneumonia, epirubicin, cyclophosphamide, paclitaxel
<URL:> https://www.jstage.jst.go.jp/article/kjm/advpub/0/advpub_2025-0008-CR/_html

